公益團體



雲後光聯盟
99.10.31 台內團字第1120036270號
捐款方式: 支持郵政劃撥捐款支持信用卡捐款支持信用卡捐款
類別: 社會服務
地區: 臺北市
電話: 02-66040031
連絡人: 蘇先生
地址: 臺北市中山區松江路330巷30號二樓
網站: https://sgltw.org
E-mail: sgltworg@gmail.com
分享至:


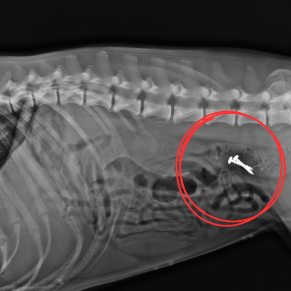
惡意將「毒罐罐」混在食物中...
0人點閱
勸募專案
專案名稱:惡意將「毒罐罐」混在食物中...
勸募核准文號:衛部救字第1141360043號
發佈日期:2025-11-26
截止日期:2025-12-31

捐獻項目
☼當一道溫暖陽光 ❤暖心捐款 (金額請填100元以上)
 元


身為萬物之靈,卻惡意將「毒罐罐」混在食物中...

禁止餵養流浪犬貓違反人道精神且流浪犬貓缺乏食物來源,自行覓食將造成更嚴重的生態環境破壞。乾淨餵食(受訓人員在指定位置餵食犬貓後清理餵食環境)可以減少環境髒亂,落實動物友善。

「生命是平等若將流浪動物換成人,不去思考如何幫助人民免於淪爲遊民,卻立法斷了他們的活路,這太不合羅輯採取分化的方式讓牠們流浪到各個地方,是將問題擴大化,使問題散落四處,以爲問題不見了?面對流浪動物繁衍氾濫的問題,動保團體選擇協助結紮再放養,維持當地原本的生態平衡,殊不知若禁止餵食,流浪動物只得擴大自己的獵食範圍,才能尋得一口食物,增添了有效節育的難度!」不是放牠們在外面繼續跑! 更有人惡意將「鐵釘」、「針」、「毒藥」等物藏在罐罐、熱狗等食物,拿去餵食飢餓的流浪狗,惡劣又殘忍的行徑遭到撻伐、痛批。

能清楚的看到,流浪狗在吃著麵包,但那些麵包其實被惡意加工、藏著「鐵釘」,甚至還有「鐵釘熱狗」及「鐵釘培根肉丸」或「毒罐罐」;「這世界上仍有許多惡人以捉弄飢餓的流浪動物為樂」,並呼籲,「請大家不要虐待動物」。

浪浪時常處於飢餓狀態、根本飢不擇食,這些藏有毒物的食物不僅會對牠們造成嚴重傷害、甚至還可能造成牠們死亡,因此,這種惡劣又殘忍的虐狗行徑遭到撻伐!「實在太殘忍」、「看了心很痛」。

☼台灣雲後光聯盟 『 保護動物計畫』 以糧食補給/節育/醫療救助/認養觀念